Sleep apnea is a breathing disorder that manifests at night. According to Mayo Clinic, it is a potentially serious disorder where you stop breathing / struggle to breath during sleep.
So, what are the different types of sleep apnea and how does my dentist know I might be suffering from sleep apnea? Let's talk about it.
2 Most Common Types Of Sleep Apnea
- Obstructive Sleep Apnea
- This tends to be the most common form of sleep apnea and occurs when the muscles in the throat and mouth relax to the point they block the passage of air to the lungs.
- Central Sleep Apnea
- Less common and occurs when there is a disconnect between the brain and lungs where the brain does not send the appropriate signals for you to properly breath at night.
As dentists, we commonly see signs of obstructive sleep apnea … so the majority of this post will be about obstructive sleep apnea and some of the most common clinical signs.
Why Does My Dentist Think I Have A Breathing Disorder?
We see most of our patients anywhere from every 3-6 months. Every exam we do, we screen for cavities, oral cancer, and breathing disorders. Breathing disorders manifest in the mouth a couple of different ways.
Scalloped Tongue
A scalloped tongue clues us into a potential problem occurring at night. In the photo above, the tongue to the left is a "normal" tongue - smooth sides and no signs of scalloping. The tongue on the right is a scalloped tongue - see the sides are irregular and bumpy.
If we asked both patients to rest their tongues against their lower teeth, the scalloped tongue would fit into the grooves of the lower teeth - which is what causes the scalloped appearance.
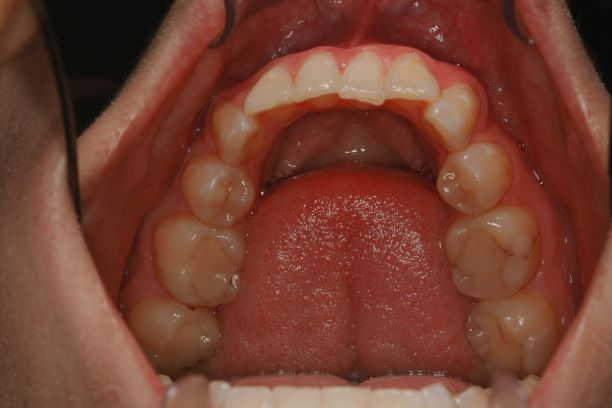
Tipped Teeth
In the above picture see how the teeth are pointing towards the tongue. This limits the amount of space for the tongue.
Do you see how the tongue fills in the space between the teeth?... this is what causes the scalloping appearance on the sides of the tongue.
When the tongue doesn't have enough space to rest, it often falls back obstructing your airway - hence why we are talking about sleep apnea.
Large Tonsils

So we have discussed the impact your tongue and teeth have on breathing. Now let's move further back in the mouth to the tonsils.
If you can appreciate from the photo above the tonsils are on either side of your throat and if large enough - can block your airway. Now, not all tonsils are created equal... and I am not saying get your tonsils removed. These are just a couple of signs that we look for when evaluating airways.
Okay, I Might Have A Breathing Disorder...Now What?
Okay, your dentist said they are concerned with your breathing and have indicated you may have a breathing problem. Now what?
Well, I can tell you how it works at my practice.
- We are partnered with board certified sleep MDs.
- We refer you to a board certified sleep doctor and use a company to easily allow you to use your medical insurance.
- This sign up process takes 5 minutes and is usually done in the dental chair.
- Once your medical benefits are verified (2-3days), you will know your out of pocket cost, and can schedule your telehealth visit with a sleep medicine doctor.
- Next, you complete a 2 night at home sleep study - yes in your own bed!
- The results from the study are sent to the MD and me.
- We schedule a consult at the office and discuss the findings - if you are found to be suffering from sleep apnea, your assigned sleep doc will recommend treatment which is dependent on the severity of sleep apnea.
This is truly a seamless process. We are able to ensure you get the care you need and help guide you through the entire process.
Sleep apnea possess many risks to your overall health. So, it is very important to diagnose and treat the disorder - and we are here to help make that process easier. In our next blog we will discuss some of the potential risks associated with untreated sleep apnea!
Feel free to reach out to us with any questions! You can DM us on Instagram or use the form on our homepage!


Leave a Reply