We are in the age of accessibility...almost information overload at times. So it can be very hard to know what to look for when seeking out dental veneers.
At my practice patients often inquire about dental veneers. We get the question of "who is the best dentist for veneers?" ...quite often.
People can sometimes be confused thinking that a dental office named "cosmetic dentist" employs a dentist that specialized in cosmetic dentistry.
That is not the case - because cosmetic dentistry is not a specialty.
Everyone wants a beautiful smile and we want you to have it.
So, we thought it might be useful to provide some information on the topic of dental veneers so that you can be informed when making a decision about your oral health.
Why Do You Want Veneers?
Your smile is one of the first things people notice...and as we know first impressions are so important. One of the first questions you need to ask yourself is why do you want veneers?
Are you unhappy with the shape of your teeth? The color of your teeth? Both?
Write this down. This is what you need to tell your dentist. Your answers will help you and your dentist...(most importantly decide on materials), but also it will align both of your expectations.
Here, let me share an example.

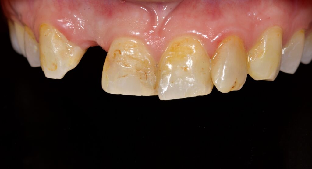
This is a dear friend of mine. She was unhappy with the shape and color of her teeth. Her teeth formed with discolored areas when she was a kid and she was now at a point in her life she wanted to do something about it.
So, when I asked her the question of "Why do you want dental veneers?", she promptly stated she did not like the color or the shape of her teeth (At the time she was not interested in braces/Invisalign to fix the crowding)
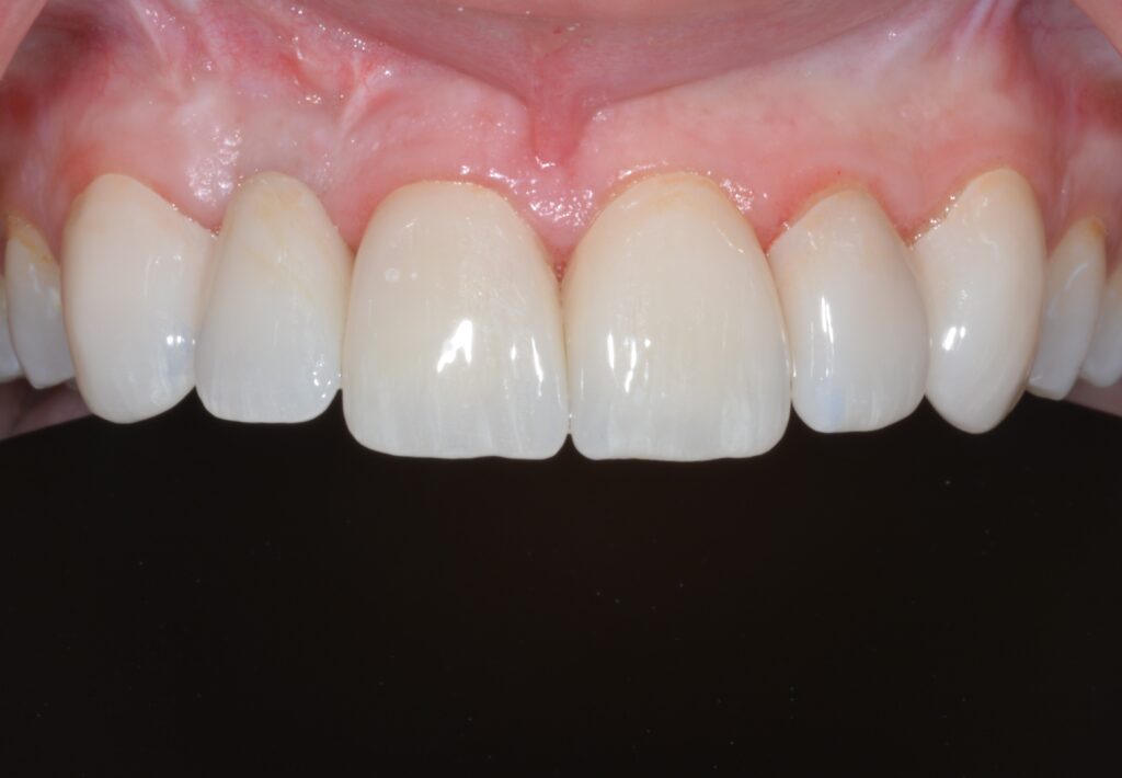
So, I said "great, with our materials we can fix those problems, no worries!"
We picked the shape and color as a team and got a beautiful result!

So the key here, make sure you and your dentist are on the same page. Expectations can't be met if they aren't known...so make sure you voice your concerns and align your goals. The best dentist for veneers is the one who understands what you want, can verbalize your goals, and can provide you with details on how they can execute those goals.
Are You Willing to Straighten Your Teeth First?
When people are pursuing dental veneers....most people want the best dentist for veneers / want the best work possible. Why do I know this? We ask every patient.
Beautiful dental veneers are made by top tier dental labs who work closely with dentists. And the thing about using top tier labs is they are more expensive than your run of the mill dental lab. At my practice we use the best labs so we can achieve the best results.
Okay, so what does straightening my teeth have to do with dental veneers?
Well, we are commonly asked "well how long will these veneers last?" and that is a fair question. If you wear a night guard, keep up with your already impeccable oral hygiene ;), and stay locked in on your routine dental visits - dental veneers should last a LONG time. But, one way to increase the predictability is to make sure you have an optimal bite.
Why?
Well, in dentistry we use the phrase "optimal bite" to mean a bite that is harmonious and protective. Teeth are not meant to wear and your back teeth protect your front teeth and your front teeth protect your back teeth. When your bite is out of alignment unfavorable forces can be placed on your newly cemented dental veneers. This in turn decreases their long term prognosis.
So, this is why I always ask patients "do you want the best outcome or the cheapest outcome?". Most people want the best outcome and it is our job to give them all their options and inform them accordingly.
Are You Okay With Ongoing Maintenance?
I think this is a really important question because I don't think people realize that cosmetic dentistry requires longterm commitment. Dental veneers require maintenance. Plain and simple.
Dental veneers also require lifestyle modifications. I always tell patients a night guard is a must. We chatted about this in one of our past blog posts - check it out here.
You cannot control what you do with your jaw at night. People will wear down their veneers and knock them off while they sleep. So we always include a night guard in dental veneer treatment plans.
It is also important to not bite into hard foods after you get your beautiful veneers - hard breads, candy apples, etc.
Any finally depending on your diet you can get staining around where the veneer meets the tooth, so regular dental visits are must to make sure you keep that smile vibrant and healthy. )Want to know more about the importance of routine dental visits? Click here.)
Conclusion
Dental veneers are amazing...and quite frankly life changing. Patients are always looking for the best dentist for veneers, but sometimes they are not asking all the right questions. Hopefully this post was helpful. Good Luck on your dental journey - feel free to reach out to us with any of your questions! Click that DM button on the top of the page.
Also, if you want to know more about dental veneers - our practice website has some great content! Click here.
If you are in the Portland Oregon area, Dr. Mike would love to meet you and help you have the smile of your dreams! He works at Uptown Family Dental in NW Portland. Give him a call! 971-417-2135
Leave a Reply